近日,门诊部确诊一例男性乳腺癌!
患者 C 先生,59 岁,因触及右乳肿物来到门诊部就诊,专科 B 超显示:右乳外侧近乳头处可见一低回声肿物,形态不规则,边缘模糊、成角,提示乳腺癌可能性大(BI-RADS:4C)。


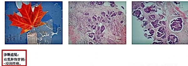
在医生建议下,C 先生行 B 超引导下粗针穿刺活检术,病理显示:「浸润性癌」!

这一期文章,就让我们一起来了解一下「男性乳腺癌」这个较为罕见的疾病

01男性乳腺癌的发病率
男性乳腺癌(malebreast cancer,MBC)是一种罕见的恶性肿瘤,平均发病年龄多在 50 ~ 60 岁,中位年龄 64 ~ 71 岁,比女性乳腺癌患者晚 5 ~10 年 [1]。文献报道其在所有乳腺癌患者中占比< 1%,中华医学会外科学分会乳腺外科学组组织的一项多中心研究报告中国男性乳腺癌约占总体乳腺癌群体的 0.31%[2]。
由于生理因素等差异,男性乳腺癌发病率远低于女性乳腺癌,但因男性对自身患乳腺癌风险的意识不高,导致男性乳腺癌患者不能及时诊断而常延误病情,现对男性乳腺癌的病因、诊断、治疗及预后等方面作一概述,进一步加强临床医生及患者对男性乳腺癌的了解和重视。

02男性乳腺癌的病因与危险因素
遗传因素
男性乳腺癌与 BRCA 基因突变关联显著,携带 BRCA 2 突变的男性,患乳腺癌风险是正常人群的 80 ~ 100 倍,且发病年龄较早;而携带 BRCA 1 突变的男性患乳腺癌风险增加 58 倍[1]。
此外,若一级男女亲属患乳腺癌,那男性得乳腺癌的风险也会增加 2 ~ 3 倍。
内分泌异常
雌激素的作用增强,或者体内雌激素与雄激素失衡是男性乳腺癌发生的主要危险因素,比如既往有睾丸疾病、Klinefelter综合征(先天性睾丸发育不良伴染色体异常,即XXY综合征)等,雄激素水平下降,使得雌激素水平相对较高而增加男性乳腺癌的发病风险。
其他因素
✦ 长期暴露于高温、高辐射等环境中,可间接增加乳腺癌风险;
✦ 烟草、酗酒及肥胖(BMI≥30 kg/㎡)与乳腺癌风险正相关;
✦ 高脂肪、高糖分饮食可升高雌激素水平,增加乳腺癌风险;
✦ 肝脏疾病容易导致体内雌激素灭活减少,使其水平相对升高也可诱发乳腺癌。

03男性乳腺癌的临床表现与诊断
男性乳腺癌多发生于乳头下方,表现为乳晕下无痛性肿块,可累及腋窝淋巴结。发展过程中,乳头通常较早受到影响,可表现为乳头溢液、乳头回缩等症状。由于腺体组织少,就诊不及时,男性乳腺癌患者可有胸部皮肤或胸肌粘连现象,少数病人也会有 Paget病(如红色斑块)等皮肤变化。
若男性乳腺出现以上异常,应提高警惕,及时就诊,临床上一般通过以下方式进行诊断
影像学检查
✦乳腺 B 超(首选,对乳腺肿物和腋窝淋巴结评价具有优势);
✦乳腺钼靶(对钙化较为敏感,但突出的胸大肌可能会掩盖可疑病变);
✦乳腺MRI(一般作为辅助诊断)
病理活检(金标准)
如存在可疑病变,组织病理学检查是诊断乳腺癌的金标准。
男性乳腺癌以浸润性导管癌为主(占 80% ~ 90%),其次是原位导管癌(7.3%)、乳头状癌( 2% ~ 3%)和黏液性癌(1% ~ 2%)。
分子检测BRCA 基因检测及肿瘤标志物(如CEA、CA15-3)可作为辅助诊断依据。

04男性乳腺癌的治疗策略
尽管男性和女性乳腺癌在生物学和临床上存在一些差异,但是男性乳腺癌的治疗总体上与女性乳腺癌相似[3]:
✦手术切除:男性乳腺癌的早期手术一般以改良根治术为主,即全乳切除(保留胸大、小肌)腋窝清扫。
✦辅助治疗:根据术后分期及分子分型行放疗、内分泌治疗、化疗、靶向治疗等。
激素受体阳性的男性乳腺癌患者,推荐完成 5 ~10 年的「他莫昔芬」治疗,存在他莫昔芬禁忌症者可选择「AI+肚皮针」治疗;
HER-2 阳性的男性乳腺癌患者接受靶向治疗。
小贴士:具体治疗方案需专业乳腺科医生根据患者情况制定喔~

05男性乳腺癌的预后
总的来说,男性乳腺癌总体预后较女性差,肿瘤大小和腋窝淋巴结转移情况是决定预后的主要因素。文献报道,男性乳腺癌的 5 年生存率约为 60.9% ~ 80.8%;而早期诊断(I~II期)患者 5 年生存率可达 80% 以上,可见,早发现、早诊断、早治疗是提高男性乳腺癌患者生存率的关键。
男性乳腺癌预防建议
✦ 定期体检,同时,男性也要学会乳房自检,如触及乳腺肿物,及时到乳腺专科就诊。
✦ 建议近亲携带胚系 BRCA 基因突变的男性做基因检测,若发现 BRCA 基因突变的男性,推荐从 35 岁开始接受乳房自我检查,并每 12 个月进行 1 次临床乳房检查。
✦ 控制长期高温暴露风险,减少摄入烟酒,保持良好生活习惯。

总结
男性乳腺癌是遗传、内分泌及环境因素共同作用的恶性肿瘤,需结合多学科治疗。早期诊断(如超声检查)及基因检测(如乳腺癌易感基因 BRCA1/2 二代测序)是改善预后的关键。未来需要进一步普及男性乳腺癌筛查,提高关注,同时加强患者教育及心理支持。
参考文献
[1] 邵志敏,沈镇宙,徐兵河. 乳腺肿瘤学(第三版).
[2] 中华医学会外科学分会乳腺外科学组.中国男性乳腺癌临床诊治实践指南(2023版)[J].中国实用外科杂志,2023,43(2):139-143.
[3] National Comprehensive Cancer Network. NCCN Clinical Practice Guidelines in Oncology (NCCN Guidelines®) Breast Cancer. 2025 Version 4.
[4] 鲁英,刘佩,唐金海.男性乳腺癌的研究现状[J].中国肿瘤外科杂志,2017,9(4):264-267.
[5] 秦岭,邢泽宇,刘嘉琦,钱天一,王畅畅,王昕,王翔.50例中国男性乳腺癌临床特征和遗传学病因[J].基础医学与临床,2020,40(5):684-687.
[6] 陈道宝,杨红健.78例男性乳腺癌患者的临床病理特征和预后分析[J].浙江临床医学,2024,26(2):172-174.
[7] 吴均, 任晓秋, 俞勇, 杨君, 潘蕾, 郑庆辉. 男性乳腺癌临床病理特征及预后分析. 实用肿瘤杂志, 2020, 35(6): 517-523.
声明:本文旨在为读者分享和科普,仅供参考,如有不适症状,请及时咨询医生。
END
工作人员
作者丨黄嘉欣
排版丨林允夏子
审核丨陈怡医生、尤秋婷医生
图源丨苏逢锡专科门诊部、金域医学检验中心、Pexels
苏逢锡教授团队

标签来源:









