在前文《乳腺彩超是一种什么检查?》中,我们介绍了乳腺超声的相关内容和必要性。
除了乳腺彩超,乳腺X线检查同样具有价格便宜、操作简便、无创性以及可重复性等优点,成为了临床上最常用的乳腺疾病常规检查方法之一。
那么今天,我们就来和大家详细介绍乳腺X线。

图片来源:cancer.gov
是什么X线?
乳腺X线检查是用两个压迫板夹住乳房,然后用X光进行拍照,通过比对正常乳腺组织和病变组织来判断病灶的性质。
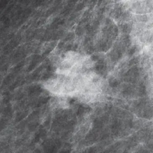
在X线下,我们能清楚地看见乳房内组织与病变。
● 肿块:大小、形状、边缘和密度4个方面观察肿块。
● 钙化:可分为典型的良性钙化和可疑钙化。
● 结构扭曲:正常结构被扭曲但无明确的肿块可见,包括从一点发出的放射状影和局灶性收缩,或在实质的边缘扭曲。
● 对称性征象
● 乳腺内淋巴结
● 皮肤病变
● 单侧导管扩张

卵圆形肿块 不规则形肿块

边缘清楚的肿块 边缘模糊的肿块

低密度的肿块 高密度的肿块

典型良性钙化 可疑钙化
什么情况下需要做乳腺X线检查?
一般我们都建议40岁以上的女性每年进行一次乳腺X线检查。对于已发现可疑病变或乳腺癌高危人群,可根据实际情况进行乳腺X线检查。
拍片时夹板需要对乳房进行压迫,此过程可带来一定的不适。因此,对于月经期乳房较敏感的患者,非紧急情况下,可考虑避开月经期,以免不适感加重。
乳腺X线检查怎么做?
乳腺X线检查前一般无需特殊准备。患者取立位,如患者站立困难,也可以坐位进行检查。
乳腺X线检查的常规投照位置为头尾位(CC)位及内外侧斜位(MLO)。对于头尾位及内外侧斜位显示不良或未包全的乳腺实质,可以根据病灶位置选择其他辅助投照位。

图片来源:verywellhealth.com
乳腺X线的分型
乳腺分型是对整个乳腺构成的简明描述,可分为 4 型。
● a 型:脂肪型,乳腺组织几乎完全被脂肪组织所替代。
● b 型:乳腺组织内有散在的纤维腺体。
● c 型:乳腺组织呈密度不均匀增高,很有可能遮蔽小肿块。
● d 型:致密型,乳腺组织非常致密,此型乳腺会明显降低乳腺病变检出的敏感性。

从左到右分别为a、b、c、d型
和乳腺彩超一样,乳腺X线也是采用BI-RADS评估分类。
乳腺BI-RADS(breast imaging reporting and data system)分类是美国放射学会创立并推荐的“乳腺影像报告和数据系统”中采用的表示乳腺改变的标准。

乳腺X线与钼靶是同一个检查吗?
通常所说的钼靶检查就是乳腺X线检查。
在以往较长一段时间内,乳腺X线机器中的X线管是由金属“钼”作为靶面材料,因此乳腺X线检查也常被称为钼靶检查。
随着影像设备的数字化以及其他技术的改进,目前医院所用的乳腺X线机器已不局限于“钼”作为靶面材料,有的采用金属钨或铑。因此,此项检查称为乳腺X线检查更为准确。
Q&A
乳腺X线检查具有辐射,会损害健康吗?
常规乳腺X线检查的射线剂量较低,不会危害人体健康。
报告显示有钙化,是不是很严重?
钙化可分为良性钙化和可疑钙化。对于良性钙化,只需定期复查;对于可疑钙化,需要根据实际情况进行处理。
40岁以上的女性能只检查乳腺彩超或乳腺X线检查吗?
乳腺彩超与乳腺X线检查各有优缺点,两项检查结合有助于提高诊断的准确性。因此,建议进行乳腺X线和乳腺彩超两项检查,更为全面。
乳房有假体,能进行乳腺X线检查吗?
乳房内有假体时也能进行乳腺X线检查,不会对假体造成影响,但请提前告知医生。
参考文献
[1] 中国抗癌协会乳腺癌专业委员会. 中国抗癌协会乳腺癌诊治指南与规范(2021年版)[J]. 中国癌症杂志,2021; 31(10): 954-1040.
[2] 吴恩惠. 中华影像医学. 乳腺卷[M].北京:人民卫生出版社,2010.
方医生|撰文
尤秋婷医生|审核
常钰滢|排版

标签来源:









